Spis treści

Objawy czerniaka złośliwego

Podejrzenie czerniaka skóry mogą nasuwać objawy związane ze zmianami skórnymi, które rozwinęły się nagle - de novo (częściej) lub zmiany, które zaszły na podłożu już istniejącego znamienia barwnikowego.

To może być czerniak. Wykorzystaj sztuczną inteligencję do wstępnej oceny.

Masz podobne znamiona?

To może być czerniak. Wykorzystaj sztuczną inteligencję do wstępnej oceny.

Objawy czerniaka związane ze zmianą skórną

Do najważniejszych sygnałów, które mogą być identyfikowane z objawami czerniaka i powinny skłonić do NIEZWŁOCZNEJ konsultacji lekarskiej i wykonania badania dermatoskopowego należą:

  • pojawienie się nowej, szybkorosnącej zmiany na skórze, innej od pozostałych
  • dynamiczny wzrost znamienia
  • nagła zmiana wyglądu
  • zmiana zabarwienia - zarówno ściemnienie jak i przejaśnienie zmiany
  • uwypuklenie zmiany skórnej - pojawienie się guzka w pieprzyku
  • sączenie, krwawienie ze zmiany
  • zaczerwienienie bez uprzedniego urazu
  • pojawienie się asymetrii
  • “znikanie” znamienia - regresja

Regresja - objaw czerniakaRegresja - objaw czerniaka

Umawiając się pilnie na dermatoskopowe badanie niepokojącego znamienia należy pamiętać o zbadaniu innych znamion, gdyż czerniak może ukrywać się w każdym pieprzyku na skórze, nawet w małej niepozornej różowej plamce. Czerniak w początkowej fazie rozwoju może przebiegać bez żadnych niepokojących objawów.

Zbadaj swoje znamiona

Masz podobne objawy?

Zbadaj swoje znamiona

Inne objawy, które mogą być niepokojące i świadczyć o rozwoju czerniaka złośliwego:

  • swędzenie
  • przeczulica lub pieczenie
  • ból
  • powolne powiększanie się zmiany
  • zgrubienie
  • podrażnienie
  • zmiana powierzchni
  • zmiana w obrębie brzegów zmiany
  • pojawienie się białej obwódki wokół pieprzyka

Regresja - objaw czerniaka. Czerniak szerzący się powierzchownie.Powolny wzrost - objaw czerniaka. Czerniak szerzący się powierzchownie.

Bardzo częstym objawem czerniaka obserwowanym w przypadku znamion jest objaw „brzydkiego kaczątka”, kiedy znamię zaczyna w sposób znaczący różnić się od pozostałych zmian na skórze. To także ważny objawy czerniaka, na który należy zwracać uwagę. Taki atypowy pieprzyk należy zbadać dermatoskopowo i zazwyczaj poddać chirurgicznej resekcji wraz z wykonaniem badania histopatologicznego.

Objaw brzydkigo kaczątka - objaw czerniaka.Objaw brzydkigo kaczątka - objaw czerniaka

Każda osoba sama może obserwować znamiona i posługiwać się algorytmem ABCDE w ich domowej ocenie. Objawy ukryte w tym akronimie sugerują objawy, które mogą towarzyszyć rozpoznaniu czerniaka i powinny skłonić do wykonania badania dermatoskopowego.

A (Asymmetry) - asymetria

B (Borders) - nierówne, poszarpane brzegi

C (Color) - zmiana koloru

D (Diameter) - wielkość zmiany powyżej 6mm

E (Evolution) - zmiany zachodzące w znamieniu

Nie zapominajmy jednak, że znamiona pomimo braku niepokojących objawów należy badać regularnie metodą wideodermatoskopii, gdyż czerniaka na wczesnym etapie rozwoju można zdiagnozować jedynie oglądając znamię w powiększeniu z zastosowaniem dermatoskopów.

Dowiedz się więcej o czerniaku

Czerniak podpaznokciowy - objawy

Do najtrudniejszych w diagnozie należą czerniaki rozwijające się pod płytką paznokciową. Zniekształcenie paznokcia, często mylone jest z wrastającymi paznokciami czy ich urazem mechanicznym. Bardziej specyficznym objawem czerniaka podpaznokciowego mogą być: linijny prążek na paznokciu o kolorze brązowo-czarnym, nierównym poszarpanym brzegu, szerszy niż 3 mm szybkie wzrastanie zmiany i powiększenie wymiarów wystąpienie w obrębie kciuka, palca wskazującego lub palucha wysięk krwawienie spod płytki paznokciowej, ale dotyczy zwykle czerniaków bardziej zaawansowanych ciemniejsze zabarwienie skóry wokół paznokcia

Niepokoi Cię zmiana na paznokciu? Sprawdź to!

Objawy czerniaka podpaznokciowego.Objawy czerniaka podpaznokciowego. Źródło Diagnostyka dermoskopowa czerniaka podpaznokciowego. G. Kamińska-Winciorek, R. Śpiewak

Inne rodzaje czerniaka.

Ogólnoustrojowe objawy czerniaka

Ogólne objawy czerniaka pojawią się zazwyczaj na późniejszym etapie choroby, kiedy postrzegane przez nas atypowe znamię zaczyna dawać przerzuty i komórki nowotworowe ze zmiany pierwotne rozprzestrzeniają się w organizmie. Posłuchaj Profesora Piotra Rutkowskiego, specjalistę w diagnostyce i leczeniu czerniaka i zobacz jak rozwija się czerniak w naszym organizmie.

https://www.youtube.com/watch?v=YtCUGHPAIwI&t=13s&ab_channel=AkademiaCzerniaka
Rozwój czerniaka - Prof. Piotr Rutkowski

Wcześnie wykryty czerniak może być w 100% uleczalny i tylko to zależy od nas” - podkreśla prof. dr hab. n. med. Piotr Rutkowski

Objawy czerniaka związane z pojawieniem się przerzutów w węzłach chłonnych:

  • wyczuwalne powiększone węzły chłonne zwykle powyżej 2 cm
  • może pojawić się ból przy dotyku
  • węzły chłonne mogą tworzyć tzw. pakiety tzn. są nieprzesuwalne względem otaczających tkanek

Objawy czerniaka związane z pojawieniem się przerzutów do narządów odległych - samopoczucie chorych.

W przebiegu zaawansowanej choroby nowotworowej może pojawić się wiele objawów związanych z szerzeniem się procesu nowotworowego w organizmie. Objawy wynikają zwykle z zajęcia przerzutami różnych narządów i są to niespecyficzne objawy, które mogą towarzyszyć innym zaawansowanym chorobom i w sposób oczywisty wpływać na samopoczucie pacjentów.

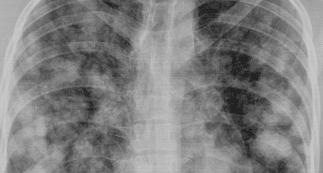
Objawy czerniaka, które mogą towarzyszyć pojawieniu się przerzutów do płuc:

  • zapalenie płuc
  • duszność
  • ból w klatce piersiowej
  • krwioplucie

Przerzuty w płucach - objaw zaawansowanego czerniaka.Przerzuty w płucach - objaw zaawansowanego czerniaka.

Inne objawy czerniaka wynikające z zaawansowanej choroby:

  • spadek masy ciała - chudnięcie
  • ogólne złe samopoczucie
  • obrzęki kończyn dolnych
  • gromadzenie się płynu w jamie brzusznej
  • żółtaczka
  • zaburzenia krzepnięcia
  • wybroczyny na skórze
  • bóle kości
  • patologiczne złamania kości
  • bóle głowy
  • nudności
  • zaburzenia widzenia
  • drgawki
  • utrata przytomności
Czy czerniak boli?

Dowiedz się więcej

Czy czerniak boli?

Czerniak we wczesnym stadium w większości przypadków nie daje objawów ogólnoustrojowych - tym samym samopoczucie pacjentów z wczesnym czerniakiem w znamieniu jest zazwyczaj bardzo dobre.

Dodatkowo wcześnie wykryty czerniak może być niemal całkowicie wyleczony. Wystarczy wykonywać regularnie dermatoskopowe badania znamion i usuwać znamiona, które budzą niepokój onkologiczny aby ustrzec się przed wystąpieniem niepokojących ogólnoustrojowych objawów czerniaka,złego samopoczucia, uporczywego leczenia, a być może nawet śmierci.

twojeznamiona.pl © 2015-2025. Wszelkie prawa zastrzeżone.